Mới đây, các bác sĩ tại Ấn Độ đã phẫu thuật cứu sống thành công một em bé sơ sinh 5 tháng tuổi có khối u khủng như quả bóng sau đầu. Các bác sĩ cho biết nếu khối u phát triển lớn hơn có thể sẽ nguy hiểm đến tính mạng của bé.
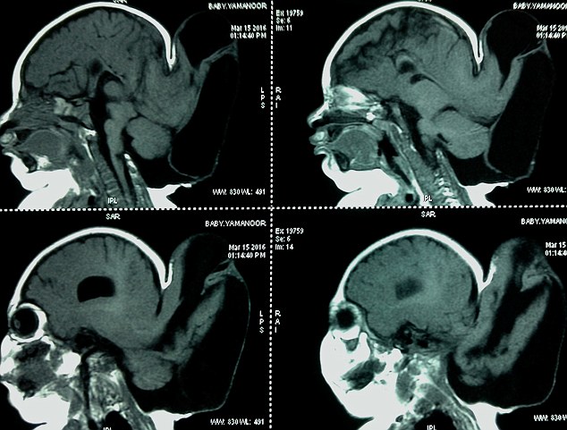
Daily Mail đưa tin cho biết bé Yamanoor Naranal (5 tháng tuổi) được chuẩn đoán mắc hội chứng thoát vị màng não chẩm.
![]() |
| Khối u khủng phía sau đầu bé sơ sinh. Ảnh: Daily Mail |
Đây là một trong những loại dị tật hiếm gặp khiến dịch tủy não tràn ra ngoài hộp sọ và tạo thành khối u. Nếu khối u phát triển to và vỡ ra sẽ gây nguy hiểm đến tính mạng.
Tuy nhiên, do hoàn cảnh gia đình khó khăn nên việc điều trị cho bé dường như là không thể. Mẹ của bé, chị Shridev Naranal cho biết "Khi biết con bị u lớn và phải phẫu thuật, tôi rất đau khổ. Nhà tôi nghèo lắm! tôi không còn hi vọng nào có thể cứu chữa cho con nữa".
![]() |
Các bác sĩ đã tiến hành phẫu thuật thành công, cắt bỏ khối u khủng phía sau đầu. Ảnh: Daily Mail |
Theo đó, vợ chồng chị cũng đã nhiều lần cầu xin sự trợ giúp từ phía chính phủ nhưng không nhận được hồi đáp. Hai vợ chồng dường như đã tuyệt vọng vì nghĩ rằng họ không có cơ hội để cứu con của mình.
![]() |
| Hiện sức khỏe của bé đã ổn định. Ảnh: Daily Mail |
Chia sẻ với báo giới, cha của bé, anh Naranal cho biết: “Bác sĩ nói với tôi rằng dù có phẫu thuật thì con tôi cũng chỉ có 10% sống sót. Khả năng phẫu thuật thành công cứu được đứa bé gần như là không thể”.
Nghe theo lời khuyên của một nhân viên y tế tại địa phương, gia đình đã đưa bé đến bệnh viện lớn. Các bác sĩ đã nhanh chóng phẫu thuật cho bé Yamanoor và loại bỏ khối u thành công. Bệnh viện cũng đã hỗ trợ một phần chi phí phẫu thuật và điều trị cho gia đình.
Theo chia sẻ của tiến sĩ Hariprakash, người trực tiếp tiến hành phẫu thuật cho bé cho biết ca phẫu thuật này rất khó khăn và tỷ lệ thành công khá thấp "Nếu như không may mấy khoảng 10ml máu cũng có thể cướp đi tính mạng của bé".
Ca phẫu thuật đã được tiến hành thành công và phục hồi sau một tháng điều trị và theo dõi.
Minh Di (theo Daily Mail)



