Mới đây các bác sĩ tại Bệnh viện Đa khoa Vĩnh Long đã đặt ống thông tĩnh mạch để gây mê nội khí quản, mổ bắt con cứu thai phụ bị tiền sản giật nặng.
Vnexpress đưa tin cho biết, mới đây các bác sĩ tại BVĐK Vĩnh Long đã đặt ống thông tĩnh mạch, gây mê nội khí quản, mổ bắt con và cứu thành công thai phụ bị tiền sản giật nặng.
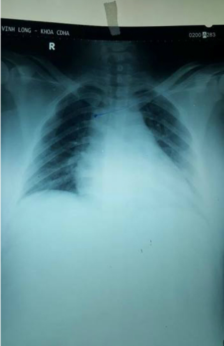
![]() |
Chụp X-quang kiểm tra ống thông catheter tĩnh mạch trung tâm. Ảnh: Vnexpress |
Theo đó, ngày 6/10, thai phụ 22 tuổi quê tại Vĩnh Long đã nhập viện trong tình trạng song thai 38 tuần, tiền sản giật nặng 92kg, bị phù toàn thân, chỉ định mổ lấy thai.
Tuy nhiên, các bác sĩ không thể mở được đường truyền tĩnh mạch ngoại biên do không tìm thấy mạch.
Các bác sĩ đã quyết định đặt ống thông catheter tĩnh mạch trung tâm để tiến hành gây mê nội khí quản.
Sức khỏe và đời sống cũng thông tin cho biết BS. Hồ Hoàng Hảo, BVĐK tỉnh Vĩnh Long nhận định đây là trường hợp khó vì nếu không được thiết lập được đường truyền tình mạch thì không thể tiến hành gây mê và phẫu thuật được.
Minh Di (tổng hợp)

