Một chàng trai 32 tuổi đã phải nhập viện trước ngày cưới 5 ngày vì bỗng dưng mắt bị giảm thị lực đột ngột.
Thanh Niên đưa tin cho biết ngày 18/12, Bệnh viện Tai mũi họng TPHCM xác nhận đã tiếp nhận và phẫu thuật cấp cứu thành công cho nam bệnh nhân Đ.V.P (32 tuổi, Cà Mau) thoát khỏi cảnh mù một mắt vĩnh viễn.
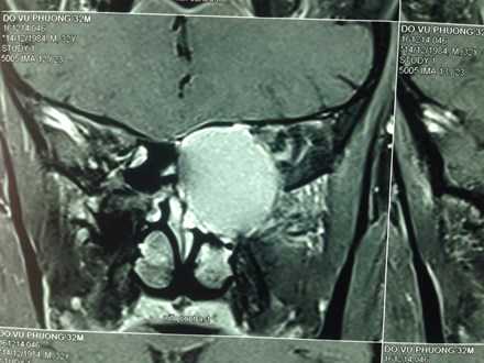
![]() |
Hình ảnh khối u nhầy chèn ép thần kinh thị giác. Ảnh: Lao Động |
Nên đọcChia sẻ với Thanh Niên, Th.S - BS Nguyễn Minh Hảo Hớn, Khoa Mũi xoang BV Tai mũi họng cho biết bệnh nhân đi khám tại BV Mắt và được chuyển sang BV Tai mũi họng trong tình trạng mắt chỉ còn thấy lờ mờ.
Bệnh nhân cho biết mắt trái của mình bị giảm thị lực gần 1 năm qua nhưng không điều trị.
Kết quả chụp CT cắt lớp, các bác sĩ phát hiện bệnh nhân có khối u nhầy vùng sàng sau tủy xương và chèn ép thần kinh thị giác, đây chính là nguyên nhân gây mù mắt.
Các bác sĩ đã tiến hành phẫu thuật dẫn lưu khối u nhầy cho bệnh nhân và sau một ngày mắt bệnh nhân đã nhìn thấy bình thường.
Lao Động cung cấp thêm thông tin cho biết bệnh nhân đã ra viện ngày 19/12 trước đám cưới 1 ngày trong niềm vui khôn tả.
Các bác sĩ cũng đã khuyến cáo bệnh nhân nếu bị giảm thị lực bất thường thì nên đi khám càng tốt để tránh tình trạng đáng tiếc xảy ra.
Hồng Hạnh (tổng hợp)

