Đức Hoa
Cập nhật các bài viết mới nhất
Danh sách bài viết
Thêm 4 ca bệnh mắc mới COVID-19, Việt Nam có 245 ca
06-04-2020 | 18:30
Bộ Y tế cho biết đến 18h chiều ngày 6/4 đã ghi nhận thêm 4 ca mắc mới COVID-19, nâng số ca mắc tại nước ta đến thời điểm này là 245 trường hợp.
06-04-2020 | 17:45
Không chỉ giảm 50% tiền phòng, chủ nhà trọ còn tặng kèm món quà đặc biệt
06-04-2020 | 14:50
Dịch Covid-19: Đã tìm ra 'gót chân Achilles' của virus SARS-CoV-2
06-04-2020 | 14:31
Đối tượng giật khẩu trang, tát nữ thành viên chốt phòng dịch Covid-19
06-04-2020 | 11:37
Thần đồng Đỗ Nhật Nam tiết lộ cuộc sống khó khăn khi tự cách ly ở Mỹ
06-04-2020 | 10:49
Người Hà Nội chui rào vào công viên tập thể dục, câu cá bất chấp lệnh cấm
06-04-2020 | 10:29
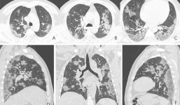
3 dấu hiệu cho thấy phổi bệnh nhân mắc Covid-19 bị tổn thương
06-04-2020 | 09:24
Để dân tổ chức đám cưới giữa mùa dịch, chủ tịch xã bị đình chỉ công tác
06-04-2020 | 08:48
Con hổ đầu tiên trên thế giới dương tính với Covid-19
06-04-2020 | 07:51
Bộ Y tế thông báo khẩn tìm người tiếp xúc với bệnh nhân 183
06-04-2020 | 07:28
Hai buổi sáng liên tiếp, Việt Nam không ghi nhận ca mắc mới COVID-19
05-04-2020 | 08:31
Dịch Covid-19: Ca tử vong ở Italy vượt 15.000, toàn cầu hơn 64.000 người
05-04-2020 | 07:59
Ca tử vong ở Mỹ vượt 8.000, TT Trump cảnh báo '2 tuần chết chóc'
04-04-2020 | 09:26
Phản ứng của Hồng Nhung khi vô tình lộ mặt trai lạ trong nhà
04-04-2020 | 07:10
Bệnh nhân 237 khiến gần 90 y, bác sĩ của 4 bệnh viện phải cách ly
04-04-2020 | 06:28
Thêm 2 ca mắc COVID-19, một trường hợp liên quan đến BV Bạch Mai
03-04-2020 | 22:27
Vì sao án ly hôn nhân giữa vợ chồng bà Lê Hoàng Diệp Thảo lại bị huỷ?
03-04-2020 | 21:29
Bộ Y tế phát đi thông báo khẩn về trường hợp của bệnh nhân số 237
03-04-2020 | 21:04
Chủ tịch Hà Nội cảnh báo mức nguy hiểm của bệnh nhân 237 mắc Covid-19
03-04-2020 | 20:33
Hướng dẫn cụ thể việc thực hiện cách ly xã hội: Các trường hợp được ra ngoài
03-04-2020 | 19:26
Thăng hàm cho 2 chiến sĩ công an hy sinh khi truy bắt nhóm đua xe
03-04-2020 | 18:53
Thêm ca mắc COVID-19 từ ổ dịch Buddha, Việt Nam ghi nhận 237 ca
03-04-2020 | 16:29
'Đi chợ thuê'- cứu cánh cho các bà nội trợ trong thời gian dịch Covid-19
03-04-2020 | 16:12
PGĐ bệnh viện tổ chức đám cưới rầm rộ: Cần xử lý nghiêm để làm gương