Thế giới 24h
Tin thế giới 24h, thời sự thế giới cập nhập liên tục, thông tin mới nhất trên thế giới
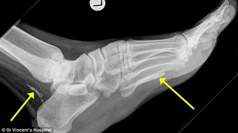
Hãi hùng phát hiện giun chỉ dài 1 mét sống trong chân ít nhất 4 năm
13-12-2014 | 14:49
Người đàn ông Sudan 38 tuổi này hiện đang sống ở Melbourne, Australia đã được các bác sĩ bệnh viện St Vincent, Sydney phát hiện ra con giun chỉ dài 1 mét đã chết và đang bị phân hủy ở trong mắt cá chân nhờ chụp X-quang.
13-12-2014 | 10:42
3 “con hổ” chắp cánh cho tướng tham nhũng PLA lên đỉnh quyền lực
13-12-2014 | 10:39
Trung Quốc cấm hát quốc ca trong đám cưới, đám tang
13-12-2014 | 10:02
Chiến dịch "Đả hổ diệt ruồi" bắt đầu "đổ bộ" Quốc hội Trung Quốc
13-12-2014 | 09:57
Hiệp ước INF có thể bị phá vỡ
13-12-2014 | 09:39
Ấn Độ triển khai UAV chống nạn cưỡng hiếp phụ nữ
13-12-2014 | 09:22
Bố con ông trùm hàng không HQ phải xin lỗi vì đuổi tiếp viên trưởng
12-12-2014 | 14:22
Trung Quốc đốt hàng tấn tiền giấy cũ để chạy nhà máy điện
12-12-2014 | 10:20
Thầy trò Đường Tăng dắt lợn đi dạo trên đường phố Bắc Kinh
12-12-2014 | 10:05
Thanh niên 26 tuổi thừa nhận giết 42 người "cho vui"
12-12-2014 | 09:49
CIA tra tấn tù nhân: Lộ diện hàng loạt nhà tù bí mật
12-12-2014 | 09:19
Tham nhũng 65 triệu USD, một quan lớn Trung Quốc nhận án tử hình
12-12-2014 | 09:06
Hoảng hốt ảnh siêu âm thai nhi có đầu hình trái tim
12-12-2014 | 08:33
Cả gia đình bị thảm sát vì mối thù "danh dự" 28 năm
11-12-2014 | 21:12
Quan tham Trung Quốc bật khóc khi tòa tuyên án chung thân
11-12-2014 | 20:25
Người tình gián điệp của Chu Vĩnh Khang đã bị xử tử bí mật
11-12-2014 | 16:50
Dân làng Trung Quốc đi lại bằng cáp treo như thời “nguyên thủy”
11-12-2014 | 16:27
2014 và những sự kiện ảnh hưởng đến chính sách châu Á của Mỹ
11-12-2014 | 16:03
5 câu hỏi về Tập Cận Bình hé mở nền chính trị Trung Quốc
11-12-2014 | 14:22
Chu Vĩnh Khang có thể đối mặt án tử hình vì tội "phản quốc"?
11-12-2014 | 14:19
Hơn 100 cô dâu Việt biến mất ở một làng Trung Quốc
11-12-2014 | 14:09
Đại dương ngập ngụa hơn 5 nghìn tỷ miếng nhựa trôi nổi
11-12-2014 | 11:03
Trung Quốc mỉa mai Mỹ vụ CIA tra tấn tù nhân
11-12-2014 | 09:17
Nhân vật của năm 2014: “Chiến binh” Ebola
11-12-2014 | 09:04
Một con hổ quý của Tổng thống Putin đã trở về Nga
11-12-2014 | 08:46
Tham nhũng 6 triệu USD, quan lớn TQ vẫn thoát án tử ngoạn mục
10-12-2014 | 15:41
Sản phụ sinh con ở độ cao hơn 3.000 mét
10-12-2014 | 15:32
Giải cứu bé sơ sinh bị mẹ ruột vứt xuống bồn cầu