Tìm thấy chiếc ví sau gần 10 năm bị mất, mảnh giấy bên trong chứa lời tiên tri gây kinh ngạc
10-09-2020 | 15:46
Người phụ nữ may mắn đã tìm thấy chiếc ví bị mất sau gần 10 năm, khi mở ví ra nhìn dòng chữ trong từ giấy mới khiến nhiều người kinh ngac.
10-09-2020 | 15:07
200 trận cháy rừng nhuộm vàng miền tây nước Mỹ như sao Hỏa
10-09-2020 | 11:25
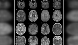
Phát hiện Covid-19 có thể xâm nhập trực tiếp vào não
10-09-2020 | 10:09
Xung đột Ấn - Trung: Bắc Kinh điều oanh tạc cơ đến biên giới
10-09-2020 | 08:36
Lộ clip binh sĩ Trung - Ấn dùng gậy đụng độ ở biên giới tranh chấp
09-09-2020 | 10:01
Mặt trăng đang bị rỉ sét, Trái đất được cho là 'thủ phạm'
09-09-2020 | 09:33
Vắc xin Covid-19 đầy tiềm năng bỗng dừng thử nghiệm vì một tình nguyện viên
08-09-2020 | 09:59
Dự đoán như thần, bà Vanga cũng có lúc tiên tri không chính xác
08-09-2020 | 09:18
Khẩn cấp tìm 2 thực tập sinh Việt mất tích trong bão Haishen
07-09-2020 | 17:34
Mở tiệc công bố giới tính thai nhi, gia đình thiêu rụi gần 3.000 ha rừng
07-09-2020 | 14:27
Bắt người gốc Việt gọi hơn 1.000 cuộc tới 911 để mời mua chả giò
07-09-2020 | 12:00
Ấn Độ chấn động vì nữ bệnh nhân Covid-19 bị tài xế xe cứu thương xâm hại
07-09-2020 | 10:29
Vợ cũ của 'vua công nghệ' thành người phụ nữ giàu nhất thế giới
07-09-2020 | 10:02
'Chợ đen' giấy chứng tử nở rộ vì Covid-19 tại Mexico
05-09-2020 | 20:14
Khoa học chứng minh: Chồng càng làm nhiều việc nhà, hôn nhân càng dễ đổ vỡ
05-09-2020 | 09:58